品川区・大井町でインプラント治療なら大井町セントラル歯科
インビザライン

大井町の歯医者をお探しの方
ご予約・ご相談はお気軽にどうぞ ▼
目次
インビザライン矯正を
ご検討中の方へ

津田 英広
TSUDA HIDEHIRO患者様の理想の⻭並びを⽬指して
当院では、正しい咬み合わせはもちろん、審美的に美しい歯並びも兼ね備えた理想的な歯並びを作り、治療終了時には患者様に喜びや満足、さらには人生の幸福感を感じていただけるよう努めています。
オーダーメイドの最適な治療方針をご提案し、患者様のニーズに応じた治療を提供いたします。
人生100年時代と言われる今、矯正治療に年齢の制限はありません。どうぞお気軽にご相談ください。
インビザライン矯正を提供
⼤井町セントラル⻭科なら
80万円(税別)で
綺麗な歯並びに。

800,000円(税別)
部 位 | 期 間 | 総 額 |
---|---|---|
両顎 | およそ 6ヶ月〜1年間※ |
800,000円(税別) |
※治療期間は症例によって異なる場合がございます。
【20代女性】納得のいく仕上がりに。
インビザライン矯正
治療前

治療後

治療前(横顔)

治療後(横顔)

治療前(正面)

治療後(正面)

津田先生からのコメント
矯正治療を通して、前に出ていた歯を後方に移動し、美しい口元に整えました。
横顔のEラインもすっきりと整い、よりバランスの取れたフェイスラインになりました。
歯並びが改善されることで、見た目だけでなく、機能的にもメリットが多く、患者様にも大変ご満足いただけています。
主訴 | 他院で矯正したが満足できる出来でなかったため、再度矯正したい。 少し出っ歯になっているのと前歯が噛んでいないのを矯正したい。 |
---|---|
治療期間 | 約1年間 |
治療費 | 800,000円(税別) |
治療内容 | インビザライン矯正 |
治療のリスク | インビザライン矯正には、歯肉炎の発症、歯の移動が遅れる可能性、さらにはアライナーの装着時間が不足することで治療効果が十分に得られないリスクがあります。 |
目立たない歯の矯正

インビザラインは、全世界1,000万人以上の患者様に利用されている実績を持つマウスピース矯正のトップメーカーです。形の異なる複数のマウスピース型の矯正装置を段階的に交換していくことで、少しずつ歯並びを整えていきます。インビザラインは、最初にとった歯型をもとに緻密な計算を行い、全てのマウスピースを製造するシステムを構築しています。
そのため、歯型取りは基本的に最初の1回のみで完了でき、患者様の負担も軽減することができます。
【20代男性】事前に歯並びシミュレーションできるから、
矯正後の仕上がりも変わります!
治療前(シミュレーション)

治療後(シミュレーション)

治療前(上顎)

治療後(上顎)

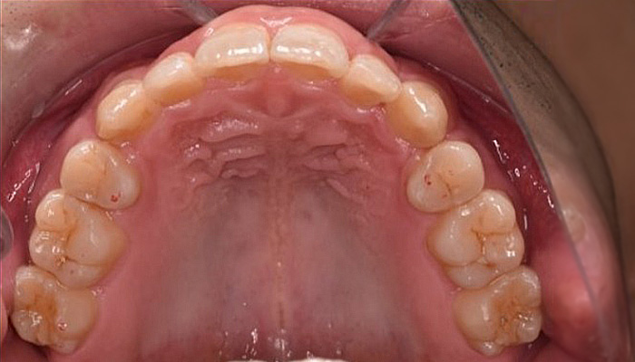
治療前(下顎)

治療後(下顎)

津田先生からのコメント
上の4番目の歯を抜歯して、インビザライン矯正で治療しました。
前歯の重なりがかなり強い状態でしたが、キレイな歯並びになり、患者様にお喜びいただけました。
主訴 | 前歯のガタガタを治したい |
---|---|
治療期間 | 約1年間 |
治療費 | 800,000円(税別) |
治療内容 | インビザライン矯正 |
治療のリスク | インビザライン矯正には、歯肉炎の発症、歯の移動が遅れる可能性、さらにはアライナーの装着時間が不足することで治療効果が十分に得られないリスクがあります。 |
インビザライン矯正の検査費用
精密検査・診査診断 | 55,000円(税別) |
---|
※歯並びシミュレーションを実施する際は、精密検査・診査診断代55,000円(税別)が掛かります。
当院で治療を開始される場合は、800,000円(税別)から精密検査・診査診断代を差し引きますのでご安心ください。
インビザラインの特徴
-
食事・歯磨きも今まで通りの可能
-
透明なので周囲に気づかれにくい
-
診療時間・通院回数が減らせる
-
治療期間・治療後の
イメージがわかる -
快適な装着感
あらゆるお悩みやご希望に
お応えできる歯科医院

大井町駅から徒歩30秒の大井町セントラル歯科は、目立たない歯の矯正(インビザライン)を行っております。聞いたことなく不安や興味がある方は、まずはお気軽にご相談ください。
お支払い方法
現金、クレジットカード、デンタルローン、院内分割が可能です
※お支払い時に受付までお問い合わせ
ください。