品川区・大井町でインプラント治療なら大井町セントラル歯科
インプラント治療
大井町の歯医者をお探しの方
ご予約・ご相談はお気軽にどうぞ ▼
目次
インプラント治療を
ご検討中の方へ
津田 英広
TSUDA HIDEHIROインプラントへの不安や疑問を
一緒に解消しましょう
インプラント治療は日本においても、年々身近な治療となってきています。
しかし、分かりにくい料金システムや治療内容に不安や疑問を持たれている患者様が多い治療法でもあります。
当院では、分かりやすい料金システムをご用意しております。
また、患者様一人ひとりのお話をしっかりとお伺いし、不安や疑問を解消できるよう丁寧にご説明しています。
ご理解とご納得をいただくことなく治療を進めることは一切ありませんので、どうぞ安心してご相談ください。
インプラント治療相談受付中です!
安全性の高い
インプラント手術を提供
⼤井町セントラル⻭科なら
インプラント1本から治療可能
350,000円(税別)〜
| 部 位 | 期 間 | 総 額 |
|---|---|---|
| 前歯/ 奥歯 どちらも |
およそ 3〜6ヶ月 |
350,000円〜 550,000円(税別) |
まずはお気軽にご相談ください!
ここまで変わる!
インプラント治療症例
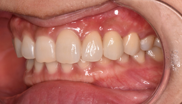
【40代女性】前歯のインプラント症例
「前歯が折れ、炎症を起こしたため、インプラントをしたい」
治療前
治療中
治療後
津田先生からのコメント
前歯のインプラントで特に審美的に要求の高い患者様でしたので、当院で最も信頼性の高いインプラント治療プランをご選択いただきました。
| 主訴 | 前歯が折れ、炎症を起こしているため、インプラントをしたい。 |
|---|---|
| 治療期間 | 約4ヶ月 |
| 治療費 | 1本あたり550,000円(税別) |
| 治療内容 | 前歯のインプラント治療 |
| 治療のリスク | 前歯のインプラント治療では、審美性の問題や骨密度不足によるインプラントの不安定、神経損傷や感染のリスクがあり、術後の腫れや痛みも発生する可能性があります。 |
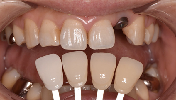
【40代女性】前歯のインプラント症例
「根が折れてしまった歯を
インプラントにしたい」
治療前
治療中
治療後
津田先生からのコメント
前歯のインプラントで特に審美的に要求の高い患者様でしたので、当院で最も信頼性の高いインプラント治療プランをご選択いただきました。また、前歯の左右差をコンポジットレジン(CR)修復治療で整えました。
| 主訴 | 根が折れてしまった歯をインプラントにしたい。 合わせて前歯の左右差を治したい。 |
|---|---|
| 治療期間 | 約4ヶ月 |
| 治療費 | 1本あたり550,000円(税別) |
| 治療内容 | 前歯のインプラント治療 |
| 治療のリスク | 前歯のインプラント治療では、審美性の問題や骨密度不足によるインプラントの不安定、神経損傷や感染のリスクがあり、術後の腫れや痛みも発生する可能性があります。 |
【50代女性】前歯のインプラント症例
「前歯は第一印象に関わるので失敗したくない」
治療中
治療後
津田先生からのコメント
前歯のインプラントで特に審美的に要求の高い患者様でしたので、当院で最も信頼性の高いインプラント治療プランをご選択いただきました。
| 主訴 | 抜けたままで放置していた前歯をインプラントにして綺麗にしたい。 |
|---|---|
| 治療期間 | 約4ヶ月 |
| 治療費 | 1本あたり550,000円(税別) |
| 治療内容 | 前歯のインプラント治療 |
| 治療のリスク | 前歯のインプラント治療では、審美性の問題や骨密度不足によるインプラントの不安定、神経損傷や感染のリスクがあり、術後の腫れや痛みも発生する可能性があります。 |
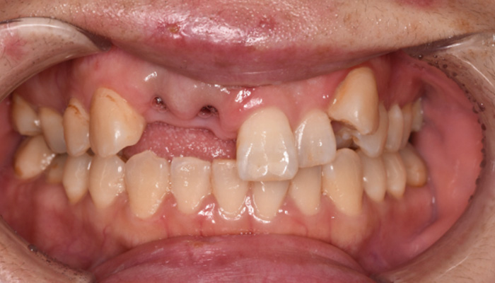
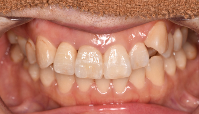
【50代男性】前歯のインプラント症例
「事故で下の歯を欠損したのを治したい」
治療前
治療後
治療前
CT画像
| 主訴 | 事故で怪我したため、欠損した箇所を治したい |
|---|---|
| 治療期間 | 約9ヶ月 |
| 治療費 | 合計1,600,000円(税別) 下の歯だけのインプラント:100万円(税別) |
| 治療内容 | 事故で骨内に入り込んだ歯を整復して、修復治療・欠損した箇所についてはインプラント治療を行いました。 ・GBRで骨造成を行い、インプラント2本を埋入し、ブリッジにて治療。 ・エクストリュージョン(歯根挺出術)。 |
| 治療のリスク | 前歯のインプラント治療では、審美性の問題や骨密度不足によるインプラントの不安定、神経損傷や感染のリスクがあり、術後の腫れや痛みも発生する可能性があります。 |
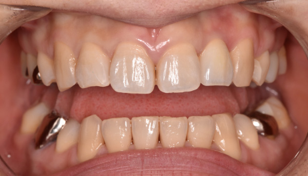
【30代女性】
前歯2本以上のインプラント症例
「転倒して前歯2本を失った方」
治療前
治療後
インプラント埋入直後
仮歯
治療後
| 主訴 | 事故で怪我したため、欠損した箇所を治したい |
|---|---|
| 治療期間 | 約5ヶ月 |
| 治療費 | 1本あたり350,000円(税別)×2本 合計2本70万円(税別) |
| 治療内容 | 前歯のインプラント治療 |
| 治療のリスク | 前歯のインプラント治療では、審美性の問題や骨密度不足によるインプラントの不安定、神経損傷や感染のリスクがあり、術後の腫れや痛みも発生する可能性があります。 |
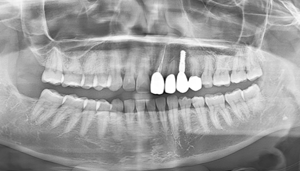
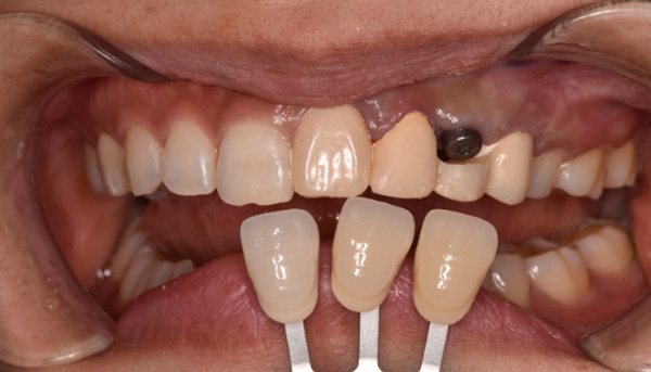
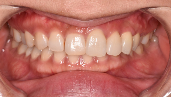
前歯のインプラント症例
「ブリッジの見た目が悪いので、キレイにしたい」
治療前
治療後
治療後
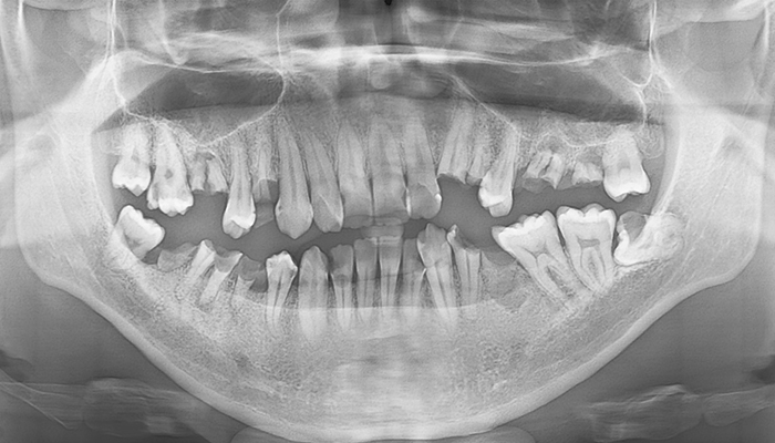
CT画像
CT画像
CT画像
CT画像
「3.7mmという限られた骨幅に、
インプラントを精密に埋め込む技術」
通常、骨の厚みが十分でない場合は治療が難しくなります。
しかし当院では、3.7mm以下という極めて限られた骨幅にも対応できる精密な埋入技術を持っています。
ミクロン単位での位置決めを可能にする専用の診断・手術機器と、豊富な経験を積んだ歯科医師の技術力があってこそ実現できる治療です。
その結果、骨の状態に制約があっても、安全性と長期安定性を両立したインプラント治療をご提供できます。
| 主訴 | ブリッジの見た目が悪いので、キレイにしたい |
|---|---|
| 治療期間 | 約4〜5ヶ月 |
| 治療費 | 1本あたり550,000円(税別) |
| 治療内容 | 前歯のインプラント治療 |
| 治療のリスク | 前歯のインプラント治療では、審美性の問題や骨密度不足によるインプラントの不安定、神経損傷や感染のリスクがあり、術後の腫れや痛みも発生する可能性があります。 |
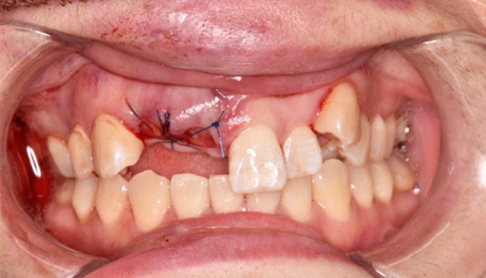
前歯のインプラント症例
根っこの破折で、
抜歯即時インプラント
治療前
治療後
| 主訴 | 歯茎が腫れていて、根っこが破折していたため、インプラント治療をしたい。 |
|---|---|
| 治療期間 | 約4〜5ヶ月 |
| 治療費 | 1本あたり550,000円(税別) |
| 治療内容 | 前歯のインプラント治療 |
| 治療のリスク | 前歯のインプラント治療では、審美性の問題や骨密度不足によるインプラントの不安定、神経損傷や感染のリスクがあり、術後の腫れや痛みも発生する可能性があります。 |
まずはお気軽にご相談ください!
自然な見た目・よく噛める
・低価格を重視した
インプラント治療
このようなお悩みはありませんか?
- 入れ歯が合わなくて困っている
- 私の口の状態でもインプラントできる?
- なるべく費用を抑えてインプラントをしたい
- 痛みやストレスの少ない治療を受けたい
- 骨が足りず他院でインプラントができないと言われた
- 実績のある医師に相談したい など
インプラントへの不安や疑問を
一緒に解消しましょう
インプラント治療は日本においても、年々身近な治療となってきています。
しかし、分かりにくい料金システムや治療内容に不安や疑問を持たれている患者様が多い治療法でもあります。
当院では、分かりやすい料金システムをご用意しております。
また、患者様一人ひとりのお話をしっかりとお伺いし、不安や疑問を解消できるよう丁寧にご説明しています。
ご理解とご納得をいただくことなく、治療を進めることは一切ありませんので、どうぞ安心してご相談ください。
インプラント治療相談受付中です!
当院のインプラント治療の特徴
-
手術経験2,000本以上の
実績ある歯科医師当院でインプラント手術を担当するドクターは、これまでに1,000症例2,000本以上のインプラント手術実績を有し、難症例を含むさまざまな治療を成功させてきた経験と技術があります。
-
先進のCTによる精密な診査・診断
事前に患者様の状態を正確に把握し、綿密な治療プランを立てることがインプラント治療の成功において非常に重要なポイントとなります。当院では先進のデジタル歯科用CTを院内に設置し、より的確な診査・診断を行なっています。
-
患者様ごとに最適な
インプラントを選択現在、世界には数百のインプラントメーカーがありますが、当院は世界トップシェアのインプラントから、患者様の症状やご状況に合わせて複数種類のインプラントブランドからご選択いただくことが可能です。
- ストローマン社
- アストラテック社
- BBC(ブレーンベース)社
-
世界標準の滅菌・院内感染対策
インプラントなどの外科的な処置が必要な治療では、器材を通じての感染防止に高い滅菌のクオリティが求められています。当院では医療先進国ヨーロッパ規格において最高グレードのクラスB滅菌器をはじめとする高度な機器を導入し、万全の体制を敷いた完全個室のオペ室(手術室)にて治療を行います。
-
眠ったような状態で治療が受けられる
「静脈内鎮静法」インプラントの治療は局所麻酔のみで行っても痛みはありませんが、不安や恐怖心までは軽減することができないため、患者様の大きなストレスとなる場合があります。そこで当院では「静脈内鎮静法(点滴麻酔)」を用いることで、ストレスなく快適にインプラント治療を受けていただくことが可能です。
-
「骨が足りない」方への骨再生治療
(骨造成)にも対応当院では症状に応じて、ソケットリフトやサイナスリフトといった「骨を増やすための治療法」にも対応しています。
歯周病や歯が抜けた状態を長期間放置していた等の原因により、骨が著しく痩せてしまっている場合、インプラントをするには「骨が足りない」と診断されるケースがあります。インプラント治療では顎の骨に人工歯根を埋入するため、顎の骨の厚みが足りているかどうかが重要となるからです。
「天然歯に近い自然な見た目」と「しっかりと噛める」状態の再現を重視し、なるべく費用を抑えた手の届くインプラント治療を提供しています。ご予算やお口の状態等により「他院ではインプラントはできないと言われた」という方に対しても、当院であれば治療が可能なケースもあります。諦める前に、どうぞまずは一度当院へご相談ください。
ご予算やお口の状態等により「他院ではインプラントはできないと言われた」という方に対しても、当院であれば治療が可能なケースもあります。諦める前に、どうぞまずは一度当院へご相談ください。
従来のレントゲンでは把握できなかった、顎の骨の立体的な構造や神経の位置などを高精度に把握することが可能となり、さらに撮影したCTデータを専用のシミュレーションソフトで解析し、患者様一人ひとりに合わせた理想的な埋入位置を診断することが可能です。
取扱インプラントブランド
スイスのバーゼルを本拠地とし、インプラント歯科学、修復歯科学、口腔組織再生の領域のグローバルリーダー。ストローマン製品の高い品質と信頼性は、長期治療成績によって裏付けられており、世界で信頼されるインプラントブランドです。
世界3大インプラントの一つに数えられるスウェーデンのインプラントブランド。高い世界シェアを誇り、世界各国の多くのDr.から実績に基づく信頼を得ているインプラントシステムです。
米国FDA認可の国産メーカー。「インプラントを中心とした骨治療の統合システムの確立」をコンセプトとして、臨床医師との積極的な共同研究によって常に新しい技術開発を行っています。
「骨が不足していてインプラントはできない(難しい)」と他院様で診断を受けた方も、一度当院へ検査にお越しください。さまざまな観点から治療の選択肢を模索し、最適な方法をご提案させていただきます。
お一人おひとりに合わせた
被せ物(クラウン)をご提供
高精度の技工物を作り出せる環境
当院では、技工物にこだわりを持った歯科技工師と提携しているため、
高精度の技工物を提供することができます。
インプラント治療について
インプラント治療とは
インプラント治療は、失った歯やボロボロの歯の代わりとして、天然歯に近い見た目と機能を取り戻すことができる治療法です。人工の歯の根を顎の骨に埋入することで歯の土台をつくり、その上に人工の歯を取り付けることで審美的・機能的な回復を図ります。インプラントは、その優れた特徴から「第二の永久歯」とも呼ばれています。
インプラント治療の
メリット・デメリット
メリット
- 自分の歯に非常に近い感覚でよく噛める
- 自然な見た目で会話も気兼ねなく楽しめる
- 入れ歯やブリッジと比較して口の中の違和感が少ない
- 周りの健康な歯を削ることなく治療できる
デメリット
- 外科的な手術が必要となり一定の治療期間を要する
- 予後のメインテナンスを怠るとインプラント周囲炎になる場合がある
- 自由診療(保険適用外)のため高額(医療費控除の対象となります)
インプラント治療の流れ
-
カウンセリング
まずは患者様のお話を丁寧にお伺いし、お悩みやご要望をしっかり把握します。治療に関する不安や疑問にもお答えし、ご理解とご納得をいただけてから次のステップへと進ませていただきます。
-
精密検査・治療計画の立案
レントゲン撮影、CT撮影、噛み合わせや顎の骨などの検査を行い、お口の中の状態を的確に診査・診断します。精密な検査結果をもとに詳細な治療計画を立てていきます。
-
サージカルガイド作製
人工歯根を埋入するのに最適な位置や角度、深さなどを治療計画通りに実現するために、CT画像や歯型の3Dデータ等をもとにサージカルガイドを作製してインプラント手術を行うことも可能です。
-
インプラント埋入手術
当院のインプラント埋入手術は「抜歯即時インプラント」「1回法」「2回法」の3種類に対応しております。患者様の骨の状態や埋入する本数などを十分に考慮し、どの手法が適用可能か慎重に診査・診断の上で最適な治療法をご提案させていただきます。
-
治癒期間
インプラント体と顎の骨が結合するのに必要な期間として、埋入してから通常約2~3か月の治癒期間をおきます。
-
型取り(印象採得)
「1回法」では治癒期間後、そのまま型取りをすることが可能です。型取りをして口腔内におけるインプラント体とその周囲組織の形態を専用器具を用いて模型上に再現します。「2回法」では治癒期間後、小さく歯肉を切開してアバットメントを連結し、歯茎の形を整えてから型取りを行います。
-
新しい歯の作製と装着
精密に作製された審美性の高い人工歯をインプラント体に装着します。スクリューでインプラント体に直接固定する方法とインプラント体に固定したアバットメントにセメントで固定する方法があります。口腔内の状態により選択いたします。
-
治療終了・定期的なメインテナンス
治療終了後は3~6か月に1回の頻度でご来院いただき、末長く健康的な状態を保っていただけるよう、クリーニングや噛み合わせの調整などを行います。治療後もしっかりとサポートさせていただきます。
-
治癒期間
インプラント体と顎の骨が結合するのに必要な期間として、埋入してから通常約2~3か月の治癒期間をおきます。
抜歯即時インプラントとは?
抜歯即時インプラントでは、1度の手術で抜歯とインプラントの埋入を行います。歯を抜いた傷が治る経過と一緒にインプラントと骨が結合していくため、手術の成功率を高めることができ、さらに治療の痛みや体への負担の軽減、治療期間の短縮など、患者様の様々なご負担を少なくすることにもつながります。
抜歯即時インプラントは、事前の緻密な診断と高度な治療技術が必要となる治療法であるため、ご提供できる医院は限られているのが現状です。当院長は「抜歯即時インプラント」においても確かな症例実績を有し、患者様の状態に合わせて、ご負担を極力少なくするインプラント治療をご提供することが可能です。
インプラント治療相談受付中です!
インプラント1本あたりの費用について
⼤井町セントラル⻭科なら
インプラント1本から治療可能
350,000円(税別)〜
| 部 位 | 期 間 | 総 額 |
|---|---|---|
| 前歯/奥歯 どちらでも |
およそ3〜6ヶ月 | 350,000円〜550,000円(税別) |
保証期間について
インプラント10年保証制度
・最長10年間の長期保証
当院ではインプラント治療を行われた方に、インプラント本体について最長10年間の長期保証期間を設けております。
また、トータルの費用や治療期間については、患者様のお口の状態や埋入本数などによっても異なりますので、まずは一度お気軽に当院までご相談ください。ご質問やご相談だけでも構いません。丁寧にご説明させていただき、ご納得いただいてから精密な検査や治療計画へと進んでまいりますので、どうぞご安心ください。
インプラントの種類別料金例
※料金例にはCT、X線検査、その他インプラントに必要なすべての費用が含まれております。
※インプラント治療は保険適用外の自由診療になります
※横にスクロールできます
| 項目 | リーズナブル コストパフォーマンス重視 |
バランス重視 一番多くの部位で 適応になるプラン |
ベストの材料 最新・最良の素材を 用いたインプラント治療 |
|---|---|---|---|
| 総額 | 35万円(税別) | 45万円(税別) | 55万円(税別) |
| メーカー |
|
![]() ![]() BLT |
![]() ![]() BLX |
| 生産 | 日本 | スイス | スイス |
| 保証期間 | 5年 | 7年 | 10年 |
| 特徴 | 難しい増骨を含む全ての処置に対応可能で、コストパフォーマンスを重視したプランです。 | ストローマン社製インプラントは、多彩な治療オプションを持ち、長期的なメンテナンスや転居にも安心な、世界的に普及した信頼性の高い製品です。 | 現状国内で入手可能な最高品質のインプラント、上部構造、仮歯、麻酔、薬品、増骨材を、患者さま一人ひとりに合わせて選定・使用しています。 |
※上記費用にCT、X線検査、その他インプラントに必要なすべての費用が含まれております。
※上部構造の保証は3年保証。
「BLT」と「BLX」の違いとは?
「BLT」は、歴史のあるスタンダードなインプラントです。
「BLX」は、ストローマン社製インプラントの中で最高品質のインプラント体であり、
耐久性・審美的にも妥協できないインプラント治療に適しています。
治療内容別料金例
※料金例にはCT、X線検査、その他インプラントに必要なすべての費用が含まれております。
奥歯2本欠損の治療例
ジルコニアクラウン
インプラント
合計
70万円〜110万円(税別)
前歯1本欠損の治療例
ジルコニアクラウン
インプラント
合計
35万円〜55万円(税別)
医療費控除について
インプラント治療やセラミック治療、矯正治療や交通費も対象
1年間に合計10万円以上の医療費をお支払いされた場合、確定申告を行っていただくことで、所得控除が受けられます。
対象となるもの
- 虫歯治療などの保険診療
- インプラント治療
- セラミック治療
- 矯正治療
- 医院までの交通費
自費診療は、保険診療同様に
医療費控除の対象になります
医療費控除を活用することで、
- 確定申告を行うことで、控除が受けられます。
- 通院にかかる交通費も対象になります。
- ご家族で年間総額10万円以上医療費が発生した場合に対象になります。
※領収書は再発行できませんので、お気をつけください。
そもそも、医療費控除とは?
治療費が一定額を超えると、所得に応じて国から補助を受けることができます。
医療費控除額のシミュレーション
| 世帯年収 | 医療費控除発生最低額 | 1年間で支払った医療費の合計 | ||||
|---|---|---|---|---|---|---|
| 20万 | 30万 | 50万 | 70万 | 100万 | ||
| 軽減される税額 | ||||||
| 300万円 | ¥96,000 | ¥15,000 | ¥30,000 | ¥60,000 | ¥90,000 | ¥106,500 |
| 500万円 | ¥100,000 | ¥20,000 | ¥40,000 | ¥80,000 | ¥120,000 | ¥180,000 |
| 700万円 | ¥100,000 | ¥30,000 | ¥60,000 | ¥120,000 | ¥180,000 | ¥270,000 |
| 1000万円 | ¥100,000 | ¥30,000 | ¥66,000 | ¥132,000 | ¥198,000 | ¥297,000 |
インプラント治療相談受付中です!


